Composite Bonding
At Ruabon Road we love a dramatic smile transformation, but we are equally passionate about subtle enhancements and minor alterations. We understand that a small change can make a big difference to how you look and most importantly how you feel.
What is composite bonding?
Composite bonding is a popular dental procedure that enhances the appearance of your teeth by applying (bonding) a tooth-coloured composite resin to one or more of your teeth.
Why choose composite bonding?
- Immediate Results: composite bonding procedures are often completed in one visit, instantly transforming your smile
- Minimally invasive: only a small amount of the tooth is removed to apply the composite
- Natural finish: composite resin is carefully shaped, sculpted and polished to match to your existing teeth for a seamless look
- Cost effective: depending on the extent of work, it can prove more cost effective than other cosmetic procedures
When would I require composite bonding?
Composite bonding enhances your smile by correcting minor imperfections including:
- Chipped or broken teeth
- Gaps between teeth
- Gum recession
- Misshapen or worn teeth
- Stained teeth
Composite bonding is often used to add the perfect finishing touch to cosmetic treatments such as Invisalign and whitening.
Can anyone have composite bonding?
Good oral hygiene is required to allow optimum bonding to your natural teeth. If you have any dental issues such as cavities or gum disease your dentist will devise a treatment plan to resolve these before your composite bonding treatment begins.

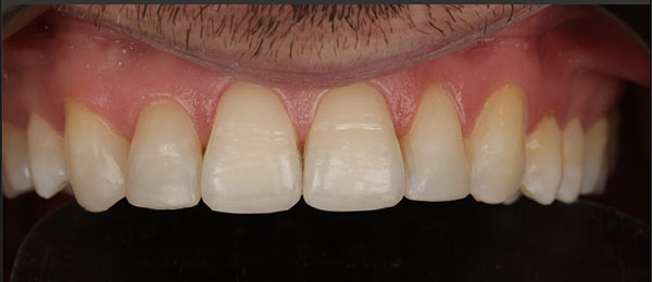
Before

After
How long do composites last?
Composite materials can last up to 10 years depending on your lifestyle, diet, bite and oral hygiene. If you play sport a mouthguard is essential to protect your teeth. We also recommend a night guard to shield the resin whilst asleep. General wear and tear and mild staining is expected and simple to rectify. We advise routine hygiene treatments and a composite replenishing session with your dentist once a year for your composites to be re-polished and buffed to keep them looking their best.
How long does the treatment take?
At Ruabon Road your composite bonding will usually be carried out in one session. During your treatment your dentist will gently clean the tooth enamel with a weak acidic gel to prepare the surface before the bonding agent is placed. A composite resin material is applied in small amounts to build up the correct colour and contour of the tooth. UV light is then used to harden and set the material before the last step which is polishing the material, refining the shape and checking your bite until you are perfectly happy with the final result. This process takes approximately 30 minutes per tooth.
How much does composite bonding cost?
The cost of composite bonding will depend on your desired results, the current condition of your teeth, and how many teeth being treated. As a guide, at Ruabon Road the cost of a single front tooth composite is £250 or for your smile line (6 front teeth) £1,500 or £3,000 for upper and lower. We offer a finance plan with 0% interest to spread the cost of your investment.
Book your no-obligation consultation today







